Rare fungal infection sickens dozens in Nashville area; one death under review

Rare fungal infection sickens dozens in Nashville area; one death under review — Static01.nyt.com
Image source: Static01.nyt.com

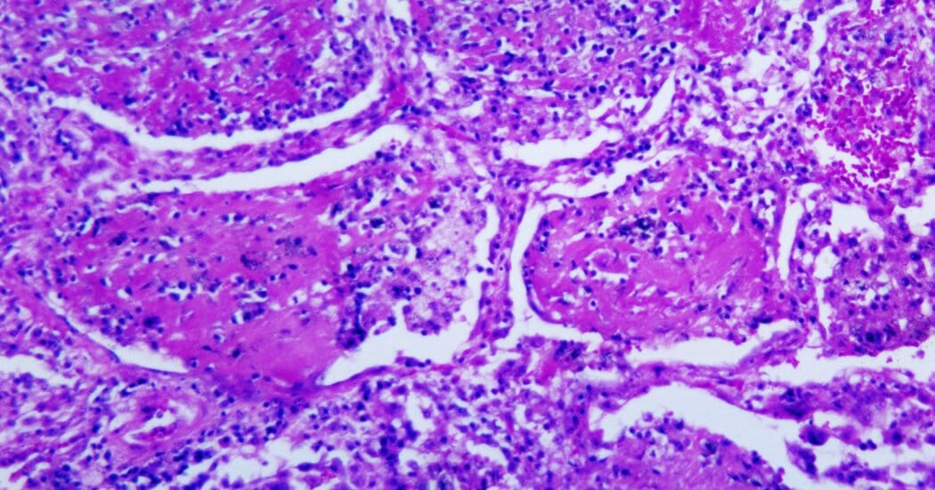
Health officials said one death is being investigated and at least 35 people have been sickened in the Nashville area after inhaling spores of a fungus that causes histoplasmosis. Histoplasmosis is a respiratory infection that can produce flu-like symptoms — fever, chills, cough, chest pain, fatigue and night sweats.

The fungus, histoplasma, is commonly found in soil in the Ohio River and Mississippi River valleys, including Middle Tennessee, and can spread through bird or bat droppings. The Centers for Disease Control and Prevention says the illness is not contagious and that symptoms can be mild or, infrequently, life-threatening; there is no vaccine and the disease is often misdiagnosed or diagnosed late.

Tennessee officials said they have not identified a clear source for the outbreak, which has affected Maury and Williamson Counties and involved an uptick in acute and severe cases beginning in September in Spring Hill and Thompson’s Station. The C.D.C. is providing scientific technical support for the investigation, a spokeswoman said, and state health officials in early December asked area providers to report patients with relevant symptoms beginning on or after Aug.

1 who test positive or have an epidemiological link to a confirmed case. One person infected, Alyssia Brown, 39, of Spring Hill, tested positive after becoming ill and died before knowing she had the infection, her family said.


Key Topics

Health, Histoplasmosis, Spring Hill, Thompson's Station, Maury County, Williamson County