Studies highlight role of ovarian tissues in fertility and aging

Studies highlight role of ovarian tissues in fertility and aging — Static01.nyt.com
Image source: Static01.nyt.com

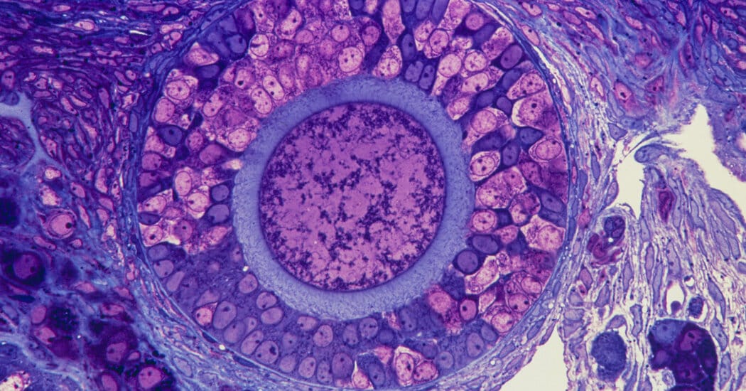
Recent research suggests that the age and condition of the ovary — not just the number and quality of eggs — influence reproduction and aspects of healthy aging. Scientists are focusing on the ovary’s supporting tissues, including stromal cells, nerves and connective tissue, and how they change with age.

Researchers report that the tissues surrounding follicles can stiffen and become fibrotic, and that fibrosis and increased tissue stiffness have been linked to poorer egg quality, fewer maturing eggs and blocked ovulation. Laboratory work in mice and in cell cultures showed that follicles growing in stiffer environments produced different hormone profiles and worse eggs; “The egg needs this whole village,” said Francesca Duncan, now a professor of reproductive science at Northwestern’s Feinberg School of Medicine, recalling observations from her lab.

Other teams have found age-related shifts in stromal hormones and in the ovarian microenvironment: Diana Laird reported an increase in sympathetic nerve density and a decrease in blood-vessel density around follicles with age, and Monica Laronda found that ground-up human ovarian stroma improved mouse follicle growth in a dish.

Rebecca Robker’s work showed ovarian fibrosis could be reversible — a 2022 study found a drug used for pulmonary fibrosis prompted ovulation in older mice — and Duncan’s lab is testing anti-fibrotic drugs that researchers say may one day be used before in vitro fertilization or to delay menopause.


Key Topics

Health, Ovary, Ovarian Fibrosis, Ovarian Stroma, Follicle, Egg Freezing